Advanced
Lung CT Analysis
WITH IMAGELOGIX AI

AI-Powered Lung Diagnostics
AI-Powered Lung Diagnostics

Detect Lung Pathologies Under
2 minutes

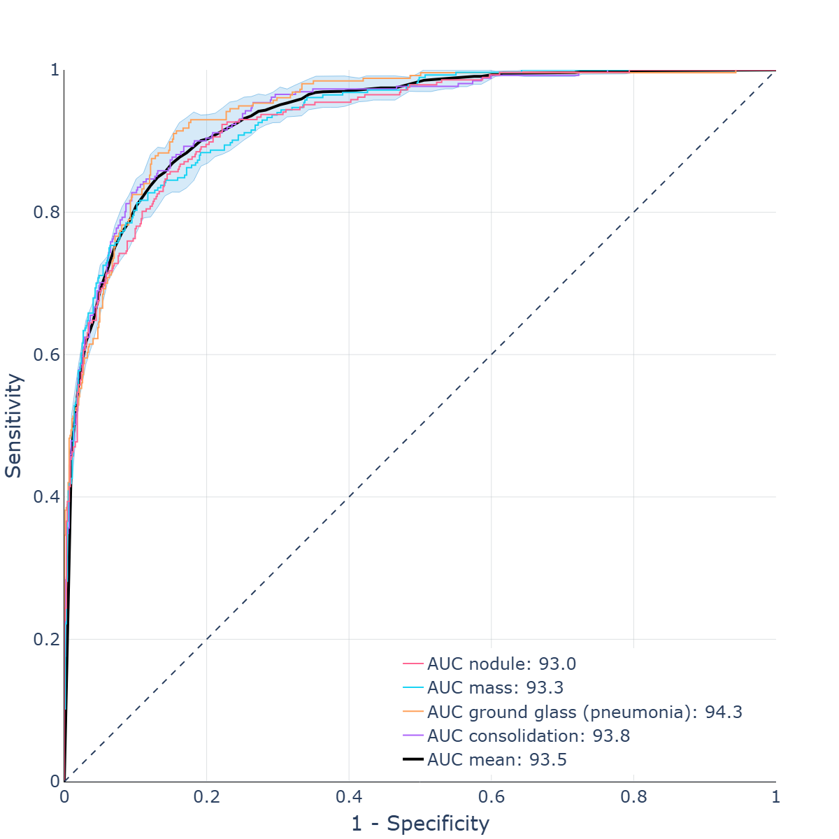
The IMAGELOGIX Lung CT analysis uses advanced AI, trained on over 10,000 diverse studies by expert radiologists, to rapidly segment lungs, accurately detect pathologies like nodules and pneumonia with 95% accuracy, and generate actionable reports

Integrated with PACS, RIS, and viewers, it's ideal for cancer screening programs and diagnostics in resource-limited settings in remote areas

IMAGELOGIX Case Study

Business benefits

Precision at Every Step

  • Scales remote lung cancer screening programs to manage large patient populations
  • Boosts radiologist efficiency for mass screenings in underserved and rural areas
  • Detects pneumonia early during outbreaks like COVID-19, mitigating economic impact
  • Reduces diagnostic errors using AI-driven precision in clinical assessments
  • Lowers OPEX and follow-up costs with up to 95% detection accuracy
  • Increases revenue through faster automated diagnostics, reducing human fatigue
  • Simplifies workflows with detailed automated reports tailored to clinical needs
  • Integrates with DICOM v3.0 and PACS/RIS systems for seamless adoption into existing healthcare infrastructures
Business benefits
Technological edge
Technological edge

Efficiency and Accuracy for Radiology

  • Achieves 95% accuracy in detecting lung cancer and pneumonia
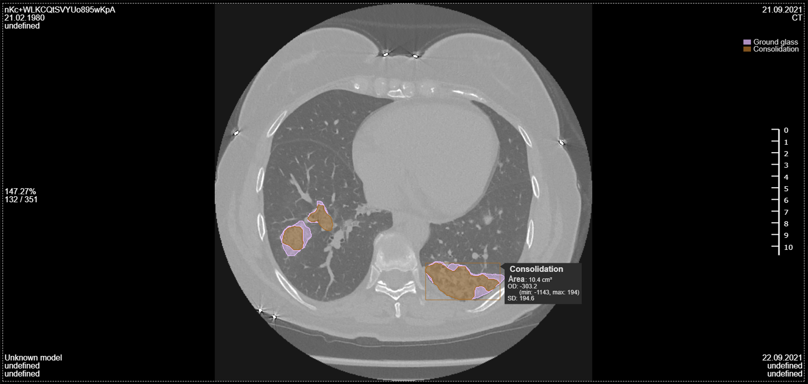
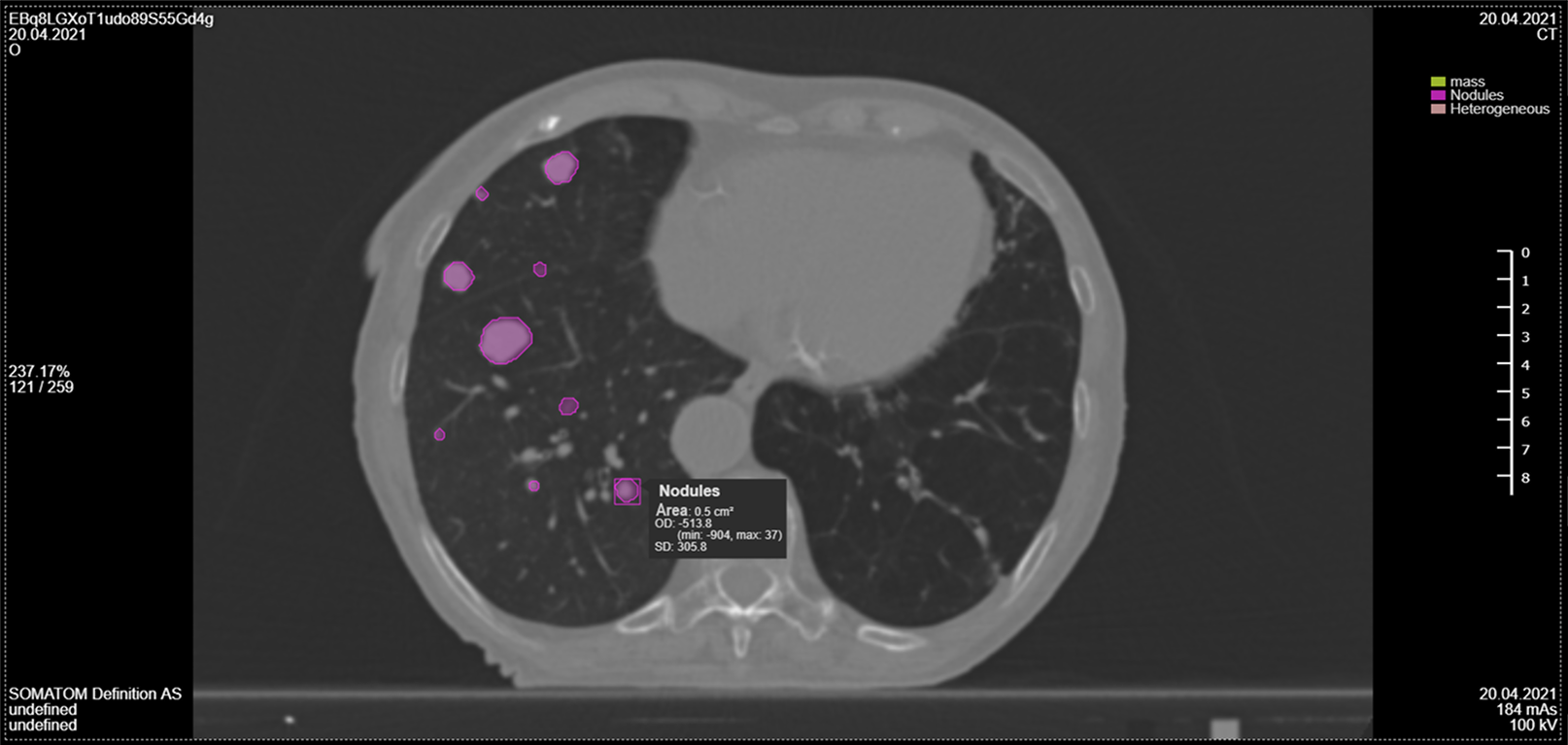
  • Automatically segments lungs, lobes, bronchial tree, and vessels
  • Classifies nodules, masses, and pneumonia indicators for precise analysis
  • Localizes pathologies with visual annotations on CT images
  • Generates CT severity scores (0-4) to support pneumonia assessment
  • Produces comprehensive study reports enriched with clinical insights
  • Seamlessly integrates with DICOM v3.0 systems for streamlined workflows
HOW IT WORKS

Helping Data-Driven Decisions

IMAGELOGIX AI operates through a cascade of neural networks--classification and segmentation--processing lung CT images in three stages:

  • preprocessing
  • analysis, and
  • post-processing

High Sensitivity and Specificity: IMAGELOGIX AI delivers reliable results tailored for lung cancer and pneumonia detection

How it works
Flexible usage scenarios
FLEXIBLE USAGE SCENARIOS

Tailored for Your Workflow

  • Acts as a first-opinion assistant for triage in screening processes
  • Provides second / third opinions with discrepancy notifications
  • Enhances diagnostic reading with pre-marked pathology regions
  • Supports rural clinics with automated report generation [see sample]

Transform Lung Diagnostics Today

Request a demo to experience IMAGELOGIX Lung CT — boost accuracy, save time, and expand care access

Request a Demo